你說的白,是什麼白?
牙齒的白度這個話題,已經被大家講到爛了。該做什麼色號、太白的牙齒會不會不自然,相信大家已經有些了解。
讓我們一起溫習一下關於白度的一些小知識:
- 同種色號,放在每個不同唇色、膚色的人口中,常常是不同的感覺
- 不是越白就越好看,過白的牙齒可能看起來會太搶戲
- 同樣白度的牙齒,也可以透過材料的透明度或是表面的紋理,讓貼片看起來更自然

那麼問題來了,每個人的齒色,到底有沒有一個「最佳色號」呢?
陶瓷貼片顏色選擇,找到你的「最佳色號」
比方說,蔡依林的牙齒,以她的膚色、唇色、個性,是否有一個「蔡依林的最佳色號」?就算一樣是蔡依林,每個人覺得最好看的齒色也不會相同。
對於蔡依林本人來說,也許會有一個她自己最喜歡、覺得最適合她的色號,但這個色號卻不見得是最多粉絲喜歡的。

這樣的齒色,你覺得如何呢?如果是你的牙齒,你喜歡這樣的顏色嗎?
其實這就是我們常常在面對的問題,陪著患者一起找出她/他喜歡的齒色。但喜歡的是最適合的嗎?有些人喜歡的和大眾審美有不小的落差,這時候就需要取捨,找到平衡點。
「最佳色號」可能是自己最喜歡的,可能是呈現出來的感覺和個性、穿搭最相符的,也可能是身邊的人看最順眼的。如果這三種剛好很接近,那非常幸運;但如果三者有不小的落差,那就是選擇的哲學了。
有時候我們需要探討比審美更深入的議題:為什麼要做陶瓷貼片?希望做了貼片後,在生活上帶來哪些改變?
好吧,今天牙齒色號就先說到這,該回到我們的故事主角。
陶瓷貼片美學挑戰,打造最白但不假的牙齒
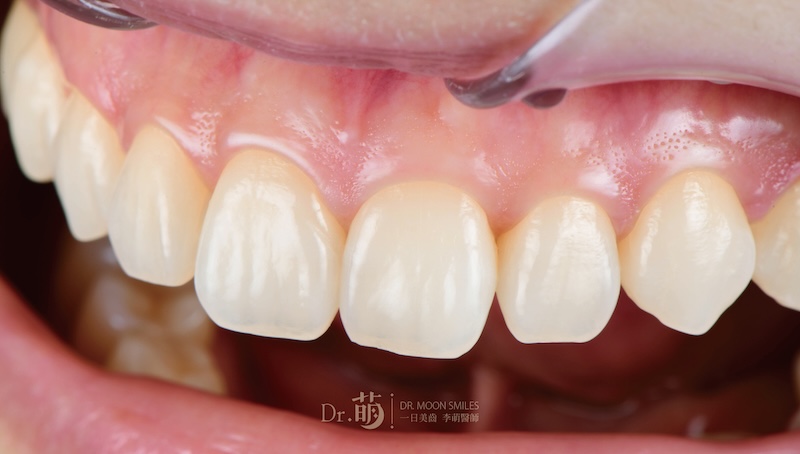
這次的主角H小姐住在信義區,聽說我們這邊專門做美學,來找我諮詢。我用色卡比對檢查時,發現她本來的齒色是B1,已經是偏白的顏色了,但她不喜歡牙齒透出微微黃光的感覺。
通常牙齒美白的極限,大概就是B1和1M1左右,還是會有一點黃色透出,也會有一點漸層。H小姐不喜歡有一點點的黃色,想要目光所及的齒面都是淨白無瑕,因此來和我討論她應該選的顏色。
齒色看起來白不白,和膚色也有很大關聯。就像黑人牙齒看起來特別白,但其實牙齒本身並沒有特別白,只是因為膚色的對比;相反,H小姐皮膚很白,牙齒相對就容易看起來顯黃。
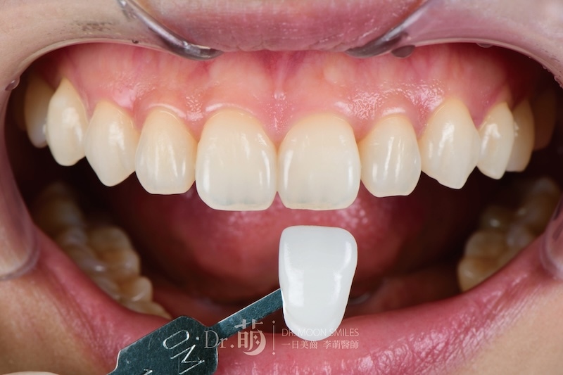
通常要選最白的色號,我會和患者好好討論,確定這會是她喜歡的。畢竟最白的色號,未必適合每一個人。然而H小姐表明,她就是想要純白的牙齒,不要看起來太假就好。

「最白,但不能太假」這樣的要求不容易達到,好在我們常做這樣的牙齒,知道該怎麼做。
白,就會假;這樣的迷思我可以理解,畢竟我們常常在診所看到患者之前做的貼片,就是又白又假,大家在網路上也常常看到這樣的牙齒。

要白又要美,其中一個關鍵就是貼片材料的選擇。很多診所做貼片,永遠只用E.max(某種陶瓷瓷塊品牌),並不是E.max不好,而是當型態、染色做不到位的時候,看起來就會有點假。
然而有些牙醫不知道,E.max其實也分很多種,只要選擇光學性質更接近牙齒的E.max,就算做白一點也能維持自然的光澤。悅庭有十幾種陶瓷可以選擇,因此可以做到盡可能地客製化。
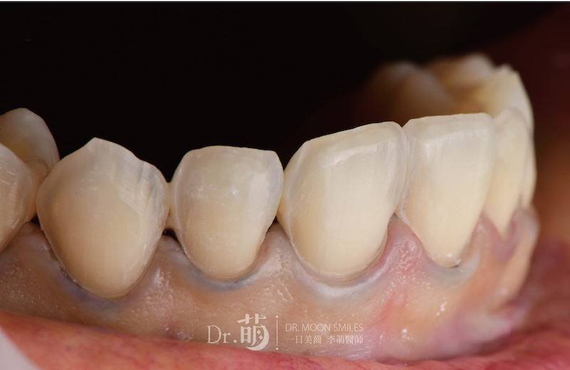
在治療過程中,因為她的牙齒健康且排列整齊(之前做過矯正),我們選擇使用超薄貼片來完成。治療後的齒色讓她的笑容更加亮眼!
超薄貼片的平均厚度通常小於0.5毫米,在試戴、黏著的過程都要特別小心,因為它非常嬌貴!然而,並不是所有狀況都適合使用超薄貼片的!通常在諮詢的階段,就可以依照患者的現況與期望,判斷是否適用超薄貼片。這次的H小姐,是因為牙齒排列整齊,且齒色較白,剛好都是使用超薄貼片的好時機。
這個案例是四年前了,每次回診看到H小姐的笑容都覺得很有成就感!

備註:官網所示案例僅用於衛教說明,療程效果因個人狀況而有所差異,請預約諮詢由專業醫師為您制定合適的療程。




